Request an Appointment
Home
Meet The Doctor
Services
Crowns
Root Canals
Bridges
Dentures
Implants
Kids Dentistry
Preventative
Restorative
Extractions
Cosmetic
Financial Information
Promotions
New Patient Forms
Reviews
Office Hours
Monday: 11AM to 08PM
Tuesday: 09AM to 06PM
Wednesday: 11AM to 08PM
Thursday: 09AM to 06PM
Friday: 09AM to 06PM
Saturday: 09AM to 04PM
Sunday:
CLOSED
5940 Hamilton Blvd Ste A, Wescosville, PA 18106
drsubha@ident.com
Call Us: (610) 530-1777
Kids Dentistry
Home
Services
Kids Dentistry
Kids Dentistry
Space Maintainer
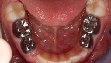
Stainless Steel Crowns
Dental Sealants
Crowns
Root Canals
Bridges
Dentures
Implants
Kids Dentistry
Preventative
Restorative
Extractions
Cosmetic